cropper
update
[Company Name]
Concierge Health Hub logo
update
  • Home
  • Categories
    • Practice Mastery
    • Patient Connect
    • Financial Fitness
    • Tech Advantage
    • Marketing Mastery
    • Regulatory Radar
    • Wellness Wisdom
  • Featured Practices
March 26.2026
3 Minutes Read

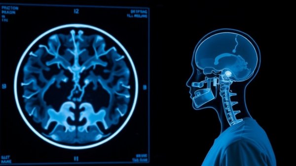
Why Radiologists Are Thriving Despite AI Advances in Imaging

Why Radiologists Are Thriving Despite AI Advances in Imaging


AI's Role in Radiology: More Support Than Replacement

The landscape of radiology has seen significant transformations due to the advent of Artificial Intelligence (AI). A perception exists that AI, particularly in the realm of computer vision, was poised to make radiology obsolete. However, recent insights from industry leaders, including NVIDIA's CEO Jensen Huang, suggest otherwise. Despite remarkable advancements in AI technology since its superhuman achievements in 2019, the number of practicing radiologists has continued to grow.

The Radiologist's Unmatched Role in Patient Care

The core function of a radiologist extends far beyond the mere interpretation of imaging scans. They play a pivotal role in diagnosing diseases and collaborating with healthcare teams to formulate comprehensive treatment plans. Huang noted that, rather than replacing these specialists, AI enhances their abilities by increasing efficiency in reviewing scans. As a result, radiologists can see more patients and provide higher quality care, ultimately driving the demand for more professionals in the field. This dynamic indicates a paradigm shift wherein technology acts as a partner rather than a competitor.

Challenges and Limitations of AI in Radiology

Despite the optimism surrounding AI, significant challenges remain. According to analyses from sources like Dark Daily and findings highlighted in Forbes, the effectiveness of AI models can suffer greatly when they face real-world complexities. Performance discrepancies—dropping by as much as 20 percentage points—have been reported when algorithms trained on specific datasets are applied across diverse patient populations and imaging protocols. Additionally, concerns over legal liability and regulatory compliance complicate the full-scale adoption of autonomous AI systems without human oversight.

Economic Implications: Why Demand for Radiologists Remains High

The relationship between AI and radiology reflects an intriguing economic concept known as the Jevons Paradox. As AI increases efficiency in medical imaging, it simultaneously boosts the demand for radiological services. For instance, Mayo Clinic's radiology department has reported a 55% increase in staffing since AI models were implemented. This growth signals not the obsolescence of radiologists but their adaptation to emerging technologies. Hospitals are capitalizing on the capabilities of AI to enhance productivity and improve patient outcomes.

Preparing for the Future: A Call to Action for Concierge Practices

For owners of concierge medical practices, the integration of AI into radiology presents an opportunity for growth and improved patient engagement. As AI continues to assist radiologists in delivering faster diagnoses, practices must prioritize understanding the regulatory implications of these technologies. By actively participating in conversations around technology adoption and forming collaborative relationships with radiology departments, concierge practices can better position themselves in a competitive market.

Conclusion: Embracing AI's Potential in Healthcare

The future of radiology does not lie in the contest between humans and AI but rather in collaboration. As the industry evolves, embracing AI will not only streamline processes but also enrich patient care, ensuring that radiologists continue to play an indispensable role in healthcare. For concierge medical practices seeking to integrate these advancements, it's vital to stay informed about regulatory considerations and to foster strong partnerships that prioritize patient welfare. By leveraging AI as a support system, practices can enhance their service offerings and solidify their local standing as leaders in patient care.


Regulatory Radar

0 Comments

Write A Comment

*
*
Please complete the captcha to submit your comment.
Related Posts All Posts
05.10.2026

The Alarming Rise of Fabricated Citations: What Concierge Practices Must Know

Update The Alarming Rise of Fabricated Citations in Medical Research Recent studies reveal an unsettling trend in scientific literature—an upsurge in fabricated citations. This issue poses significant implications for the integrity of medical and scientific practices, particularly concerning concierge medical practices that rely on accurate data to uphold their reputations and efficacy in patient care. The Data Behind the Surge According to a study from The Lancet, examining over 2.5 million biomedical papers published between 2023 and early 2026, the prevalence of fake citations has skyrocketed. In 2023, only 1 in 2,828 papers was found to contain at least one fabricated reference. Fast forward to 2025, and this number surged to 1 in 458, indicating a sixfold increase. By early 2026, the situation escalated further, with 1 in 277 papers flagged for containing false references. The implications of this escalation are deeply concerning for medical practitioners, especially for those in concierge medicine where credibility is paramount. Understanding Fabricated Citations: A New Threat in Medical Literature Fabricated citations are references that do not correspond to any actual published work. They arise from a mix of negligence and the rise of generative AI tools utilized by researchers, which, rather than enhancing research accuracy, contribute to misinformation. Experts highlight that such citations not only mislead readers but can also skew systemic reviews and clinical guidelines. This phenomenon illustrates a troubling shift in academic culture, moving from an emphasis on genuine engagement with literature to a time-pressured practice of simply ticking citation boxes. The Impacts on Concierge Medical Practices For owners of concierge medical practices, the ramifications of this trend can be particularly severe. As these practices often strive to establish trust and integrity within the community, reliance on journal articles containing fabricated citations could inadvertently misguide their operational decisions and patient care strategies. The erosion of trust associated with misinformation in medical literature can adversely affect patient perception and overall business viability. Strategies for Maintaining Integrity in Medical Citations As fabricated citations continue to infiltrate medical literature, it’s critical for concierge practices to adopt robust strategies for maintaining citation integrity. Here are key steps to consider: Verification Processes: Implement thorough review processes for all cited works, utilizing tools that check the validity of references before they are used to inform practice. Continuous Education: Restock knowledge on ethical research practices and stay updated on tools used for verifying citations as artificial intelligence evolves. Engagement with Peer Communities: Collaborate with peers in the medical community to share best practices and streamline citation verification methods. The Road Ahead: Combatting the Fabrication Epidemic As the landscape of academic publishing evolves, those managing concierge practices must counter the rise of fabricated citations with vigilance. Maintaining a commitment to integrity not only positions practices as trustworthy but sets a standard in the healthcare landscape. A focus on accurate, vetted references can ultimately enhance patient care, build community trust, and ensure your practice stands above the noise generated by fabrication in the scientific community. Staying informed and proactive against fabricated citations is crucial for preserving the reputation of your practice. It is more important than ever to engage deeply with published research and to prioritize transparency in citations.

05.09.2026

Understanding the HPP and Vista Health Partnership: Benefits for Concierge Medical Practices

Update The Significance of the HPP and Vista Health PartnershipThe recent announcement regarding the strategic partnership between Health Policy Partnership (HPP) and Vista Health marks a notable evolution in health policy dynamics across Asia. This collaboration aims to leverage the strengths of both organizations in addressing pressing healthcare challenges. As concierge medical practice owners, understanding the implications of such partnerships is crucial, especially when it relates to enhancing your practice's operational and regulatory frameworks.Harnessing Expertise for Sustainable SolutionsVista Health, with its rich experience in diverse health systems, positions itself as a key player in bridging gaps in access, quality, and sustainability of care in emerging markets. Their work in generating policy-relevant evidence underscores the need for data-driven approaches to effectively tackle local health issues. This is particularly valuable for medial practices looking to navigate complex regulatory environments. Assimilating insights from such partnerships can provide concierge practices with innovative strategies for improving service delivery and patient care.Expanding Collaborative PlatformsThis partnership builds upon previous collaborations, such as their work on lung cancer policy, illustrating a model for collaborative health improvement. For concierge practices, aligning with entities that foster multi-stakeholder engagement can significantly amplify their influence in healthcare discussions. By actively participating in these networks, practices can gain insights on regulatory trends and potential compliance requirements, essential for maintaining their competitive edge.Evidence-Based Policy DevelopmentAs highlighted by HPP's CEO, Jody Tate, the combination of Vista Health’s regional knowledge and HPP’s global expertise creates a formidable platform aimed at enhancing health system improvements. For concierge medical practices, engaging with evidence-based policy development and local stakeholders is imperative for establishing credibility and ensuring that their services meet evolving health needs.The Future Landscape of Healthcare Policy in AsiaThis partnership signifies a broader commitment towards developing sustainable health systems in Asia, a region characterized by rapid economic changes and diverse health needs. The implications for concierge medical practices extend beyond compliance; they also touch upon how emerging trends can shape service offerings. As practices align their growth strategies with regional health trends, they can better prepare to meet the demands of both patients and regulators alike.Actionable Insights for Concierge Medical PracticesWhat does this mean for you as a concierge medical practice owner? Regularly engaging with partnerships like that of HPP and Vista Health can yield demonstrable benefits. Emphasizing continual education on health policy changes and fostering relationships with local stakeholders can enhance both the quality of care and the business impact. Being proactive about these relationships can enable practices to not only survive but thrive in a competitive market.

05.09.2026

How MFN Pricing Threatens Innovation in Health Care for Concierge Practices

Update The Impact of MFN Policies on Health Innovation In recent years, funding for health innovation in Most-Favored Nation (MFN) countries has seen a troubling reduction. This is an important issue for concierge medical practices aiming to grow their business while navigating the complex landscape of healthcare regulations. The introduction of MFN pricing in the U.S. seeks to align drug prices with the lowest rates offered in other developed countries. On the surface, it appears beneficial, delivering immediate savings to patients. However, the long-term implications are concerning, particularly regarding the stifling of innovation in drug development and delivery. Understanding MFN Pricing and its Consequences The MFN pricing mechanism is designed to ensure that Americans pay no more than the lowest prices offered in select countries. While this approach aims to make medications more affordable, it inadvertently threatens the very essence of healthcare innovation. Underpinning the U.S. pharmaceutical landscape is a complex ecosystem supported by hefty investments in research and development (R&D). The potential reduction in funding could curtail the development of new treatments, particularly for chronic and complex conditions that concierge medical practices often address. Unpacking the Future of Biopharmaceutical Investment As highlighted by industry experts, America currently drives a significant percentage of global pharmaceutical innovation, holding over 70% of drug profits. Reports indicate that MFN policies could result in a massive decrease—estimated at 18.5%—to U.S. R&D spending. Such cuts might lead some pharmaceutical companies to shift their focus away from the American market and towards regions with more favorable investment climates. This migration would not only delay the arrival of new medications but also diminish the groundbreaking advancements that patients rely on, particularly within the concierge medicine sector. Comparative Healthcare Delays: A Cautionary Tale Examining other countries that have adopted price control measures offers a stark warning for the U.S. In Germany, patients face an average wait time of 133 days to access new treatments. In Spain, these delays can stretch to 500 days. Implementing similar MFN policies in the U.S. could replicate this unfortunate trend, robbing patients of timely access to life-saving medications. For concierge practices, where quick access to innovative treatments can define the patient experience, this is a key concern. Embracing Competitive Solutions in the Healthcare Landscape Concierge medical practices operate within a unique niche, but they also face pressures associated with broader healthcare policies. Instead of adopting damaging MFN approaches, many suggest that regulatory focus should pivot towards fostering competition and making life-saving drugs accessible. This could involve bolstering the biosimilar market, thereby increasing patient access to essential treatments while simultaneously reducing costs. Ultimately, by pursuing objectives that promote innovation and competition, physicians can offer higher quality care while maintaining fiscal responsibility. The stakes in the current discourse surrounding drug pricing and healthcare innovation are significant. As concierge medical practice owners, understanding the implications of policies like MFN pricing becomes crucial not just for compliance, but for the overall health and success of your practice. Staying informed on evolving healthcare regulations allows you to adapt and ensure that your practice remains a leading healthcare provider within your area. To further explore the implications of MFN pricing in the context of your business, and to learn how to safeguard and grow your concierge practice amidst these challenges, we invite you to engage with our network of experts.

Terms of Service

Privacy Policy

Core Modal Title

Sorry, no results found

You Might Find These Articles Interesting

T
Please Check Your Email
We Will Be Following Up Shortly
*
*
*